Mrtvý zub: Co to je, proč to bolí a co s tím dělat

When a tooth dies, it doesn’t just stop functioning — it becomes a silent threat. A mrtvý zub, zub, jehož nervová tkáň zemřela kvůli infekci, úrazu nebo hlubokému kazu. Also known as nekrózovaný zub, it may look normal on the outside, but inside, bacteria are eating away at the root, spreading infection to surrounding bone and even into your bloodstream. Mrtvý zub není jen estetický problém. Je to chronický zdroj zánětu, který může ovlivnit celé tělo — od únavy až po problémy se srdcem.

Co ho způsobuje? Nejčastěji zubní kámen, tvrdý nános bakterií, který chrání patogenní mikroorganismy a umožňuje jim proniknout hluboko do zubu. Když se zubní kámen neodstraní, bakterie proniknou do dásně, pak do kořene a nakonec zabijí nerv. Někdy to ale způsobí i úraz — třeba dopad při sportu nebo náraz na zub. A když už je nerv mrtvý, bolest přestane. To je ten největší klam. Lidé si myslí, že když to nebolí, je všechno v pořádku. Ale právě teď začíná skutečný problém.

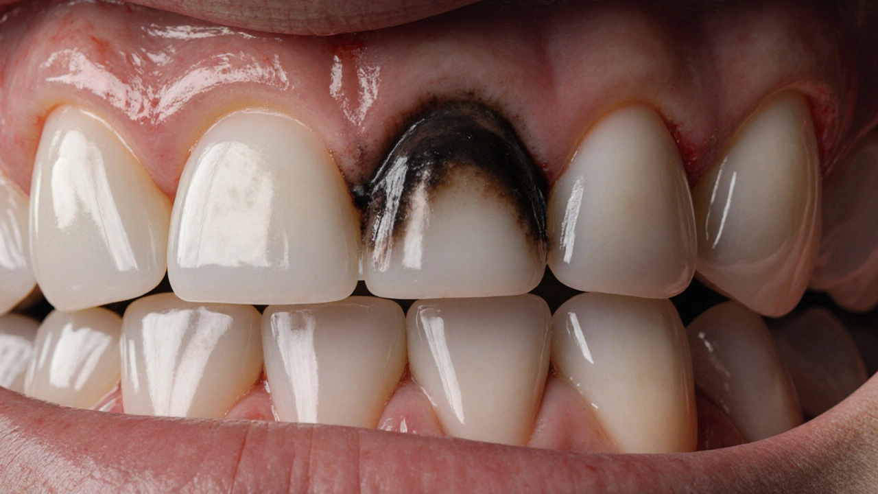
Zubní lékař to pozná podle barvy — mrtvý zub se často ztmaví na šedou, hnědou nebo černou. Rentgen ukáže zánět v kořeni, který se projevuje jako tmavá oblast kolem špičky. Pokud to necháte být, infekce se rozšíří do čelisti, může vzniknout absces, a v nejhorším případě ztratíte nejen zub, ale i část kosti. A to už nejde zpět.

Co s tím dělat? Pokud je zub ještě zachránitelný, stačí kořenová léčba, proces, při kterém se odstraní mrtvá tkáň, vyčistí kanálky a zub se uzavře. To je rychlé, nebojí se to a zub může sloužit ještě desítky let. Pokud je zub příliš poškozený, jediná možnost je vytrhnout ho a zamyslet se nad náhradou — implantátem nebo mostem. Ale vytrhnutí není řešení, když infekce už běží. Ta se nezastaví sama.

Největší chyba? Čekat. Mrtvý zub nezahájí bolest, aby vás varoval. On vás prostě nevaruje. A to je přesně ten důvod, proč každoroční prohlídka u zubního lékaře není volba — je to nutnost. Když už máte tmavý zub, nečekáte na další zážitek. Jděte k lékaři hned. Nejde jen o zub. Jde o vaše zdraví.

Jak dlouho vydrží mrtvý zub bez léčby?
mrtvý zub zubní infekce zubní root canal zubní zánět zubní péče

Jak dlouho vydrží mrtvý zub bez léčby?

Mrtvý zub nebolí, ale to neznamená, že je v pořádku. Zjistěte, jak dlouho může vydržet bez léčby, jaké má rizika a co udělat, abyste ho zachránili nebo bezpečně odstranili.

listopadu 20 2025